La totalité des dents des deux maxillaires constitue un ensemble stable et la perte d’une seule dent peut perturber tout l’équilibre de la bouche.
Fiches conseils - Page 12
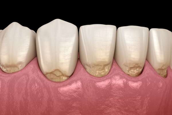
La mylolyse ou lésion cervicale d’usure se définit comme une perte de matière dentaire se localisant au collet de la dent.
Une extraction est une opération courante et indolore, mais chacun veut éviter que l’on ne remarque cette dent absente dans son sourire.
Chez l’enfant comme chez l’adulte, tout accident qui affecte les dents est une urgence ! Quels
sont les premiers soins et le suivi dans la durée ?
La bonne préparation d’une intervention dentaire vous permettra d’en obtenir les meilleurs résultats avec un minimum de désagréments.
Les interventions sont souvent suivies d’une gêne ou d’un inconfort. Des règles simples permettent de gérer au mieux les suites opératoires.






