CAS ESTHETIQUES
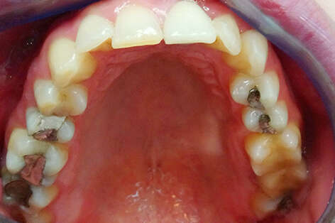
1.Remplacement d'amalgames par résine composite et Onlays
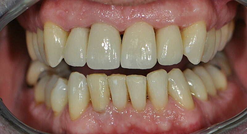
2. Eclaircissment et couronnes céramo-céramiques.
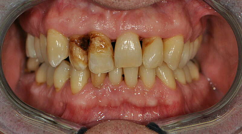
3.Restauration par résines composites et couronnes céramiques
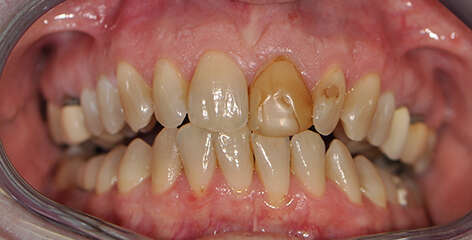
4. Couronnes céramiques sur incisives latérales et facettes sur incisives centrales
