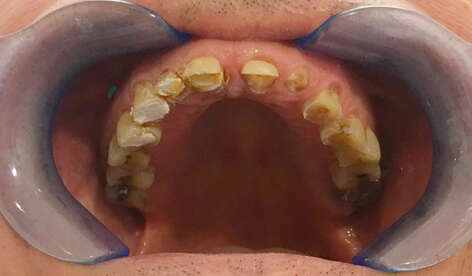
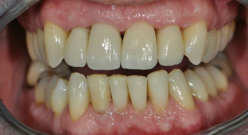
CAS CLINIQUE
1. Restauration complète maxillaire et mandibulaire
2. Eclaircissment et couronnes céramo-céramiques.
3. Restaurations par couronnes céramo-céramiques.
4. Couronnes céramiques sur incisives latérales et facettes sur incisives centrales
Consultez aussi nos photos cliniques sur l'implantologie et l'esthétique.
